Con equipos únicos en la salud pública regional, Hospital Dr. Gustavo Fricke avanza en la detección oncológica
- Tecnología es aplicada en pacientes con cáncer de mama, melanomas, de cabeza o cuello para detectar diseminación de la enfermedad.

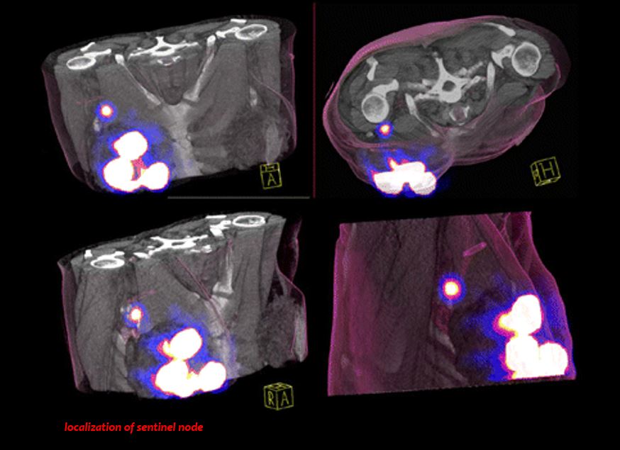
Con el objetivo de mantener la continuidad en la atención de salud, hacer más ágiles los procedimientos y cirugías menos invasivas, el Hospital Dr. Gustavo Fricke SSVQP incorporó un segundo equipo de detección de ganglio centinela. ¿De qué se trata? De equipos que permiten detectar, a través de un marcador radioactivo de bajo riesgo, dónde se ubica el ganglio al que podría haberse diseminado un tumor cercano, y que por ello se llama “centinela”.
Localizar este ganglio antes de una intervención permite hacer cirugías más precisas, menos invasivas y facilitar la biopsia que determinará si la enfermedad está o no presente en la estructura. El equipo, de un costo cercano a los 60 millones de pesos, fue adquirido por el establecimiento para su uso en pabellones centrales, y así complementar el existente en la Unidad de Medicina Nuclear.

De acuerdo al Jefe de la Unidad, Dr. Claudio Opazo, este equipo “tiene utilidad en cáncer de mama que es el 70% más o menos de los cánceres que se etapifican su ganglio centinela con este método, y el resto son melanomas que pueden ser de cualquier lugar del cuerpo, del torso, generalmente, de las extremidades, tumores de cabeza y cuello, de labios, de pabellón auricular y que tienen ganglios difíciles de buscar y encontrar, y que es una ayuda inestimable”.
¿Cómo se aplica? En pabellón se inyecta el elemento radioactivo cerca del tumor y se puede ver como “viaja” hasta el ganglio, lo que permite detectarlo, marcarlo e intervenirlo. Y si se complementa con el uso de la gamma cámara SPECT CT, única en la región en un hospital público y una de las pocas que existen en el país, se puede definir con mayor precisión la ubicación del ganglio en el cuerpo. Una biopsia determinará si la estructura está sana o tiene rastros tumorales, lo que en ese caso, implicará la remoción de otros ganglios.

Para el cáncer de mama, esto es particularmente importante, como lo aclara la Dra. Mitsy Carrillo, Jefa de la Unidad de Patología de Cabeza, Cuello y Mama. “Hace 10 años que lo tenemos y somos el único centro público en la región que lo tiene”. Gracias a la utilización de este equipo, agrega, la detección precisa permite reducir el riesgo quirúrgico posterior: “Es una cirugía mucho más acotada, más pequeña y segura para los pacientes. Estamos hablando de al menos 20 pacientes al mes que estamos tratando con esta técnica y esto sin considerar otras patologías donde se utiliza”, afirmó.